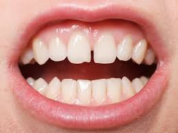
How to Close a Gap in Your Teeth Without Braces
Blog Details
Viransh Dental Clinic & Exclusive Centre for Endodontics
![]()
05/09/2025
![]()
How to Close a Gap in Your Teeth Without Braces
You’re not alone. Many people feel self-conscious about a space between their front teeth or other visible gaps. It’s a common dental concern, and it often leads to one big question: “Can I close a gap in my teeth without getting braces?”
The good news? Yes, you can.
Braces aren’t the only solution anymore, and depending on the size of the gap and your dental health, there are other ways to fix it—without wires and brackets. In this post, we’ll walk you through why gaps form, what your options are, and how to choose the best approach for your smile.
Why Do Teeth Gaps Happen in the First Place?
Let’s break it down. Gaps between teeth (also called diastema) can happen for a few reasons:
- Natural growth and genetics
- Differences between tooth size and jaw size
- Missing teeth
- Habits like thumb sucking
- Tongue thrusting while swallowing
- Gum issues that cause shifting teeth
Some people embrace the gap—it can be a signature look. But if it bothers you or affects how you chew, talk, or smile, there are safe and simple ways to fix it.
How to Close a Gap in Your Teeth Without Braces?
Not ready for traditional braces? Totally fine. Here are some common and dentist-approved options:
1. Dental Bonding for Gapped Teeth
This is one of the most common ways to close small gaps—especially between the front teeth. A tooth-colored material is gently applied and shaped to fill the space. It blends in well with your natural teeth and usually takes just one visit.
Pros:
- Quick results
- Doesn’t remove much of your original tooth
- Affordable for many people
Great for:
Small to medium gaps, especially in front teeth
2. Veneers to Close Tooth Gaps
If you’re looking to improve both the gap and your overall smile, veneers are worth considering. These thin shells are placed over the front of your teeth. They’re custom-made to match the look you want.
Pros:
- Can close gaps and improve tooth shape
- Long-lasting results
Great for:
People who want both a gap fix and a smile makeover
3. Clear Aligners for Gap Teeth Without Braces
If you’re looking for simple, home-based ways to feel better, here are a few gentle remedies that may help:
- Saltwater rinse – Mix 1/2 teaspoon of salt in warm water and swish gently. This helps clean the area and ease inflammation.
- Clove oil – Dab a small amount (diluted with a carrier oil) on the sore spot. It has a numbing effect.
- Chamomile tea – Drink it warm (not hot), or soak a tea bag and place it on the sore area for a calming effect.
Always check with your dentist before using any natural remedy, especially if you’re already on medication.
How to Prevent Complications After Wisdom Teeth Removal
Aligners like Invisalign can slowly move your teeth into place using clear, removable trays. They’re not totally invisible, but they’re much less noticeable than metal braces.
Pros:
- No wires or brackets
- Removable for eating and brushing
- More comfortable than braces for many
Great for:
Mild to moderate spacing issues
How to Prevent Complications After Wisdom Teeth Removal
In some cases, small gaps can be corrected by reshaping the teeth slightly. Dentists may smooth or adjust the edges of your teeth to reduce the space.
Pros:
- Fast and simple
- Works best on minor gaps
Great for:
People with tiny gaps and healthy teeth alignment
4. Contouring to Close Tooth Gap
You might see suggestions online like “rubber bands to close teeth” or other DIY tricks. Please don’t try them. These methods can cause pain, gum damage, or even lead to more serious dental problems.
Always check with a dentist. Even a tiny gap can have causes you might not notice, like bite issues or gum infections.
5. Can You Fix a Tooth Gap at Home?
Before choosing any option, a dentist will examine your teeth and gums to see what’s really going on. Sometimes, the gap is only a surface issue. Other times, it may be a sign of something deeper—like bone loss or gum problems.
A good dentist will help you understand:
- What’s causing the gap
- Which method suits your needs
- How to keep your results long-lasting
What Results Can You Expect?
Here’s what many people notice after closing their tooth gap:
- A more even smile
- Boost in confidence
- Easier chewing or speaking (in some cases)
- Happier photos and social moments 😄
The right solution depends on your teeth—but the right smile is possible.
Ready to Take the First Step?
If you’ve been searching “how to fix a tooth gap without braces,” now you know the options are real—and they work.
👉 Book a consultation with Dr.Vinod Kambli at The Team Viransh Dental Clinic & Exclusive Centre for Endodontics in Dhanori , Pune.
Let your next smile be the one you’ve always wanted.
